Печать
Anti-DLX3
Кат. №: AV32213-100UL
Производитель: Sigma-Aldrich
Кол-во:
Цена по запросу
Товар оформляется под заказ
Печать
Anti-DLX3
Кат. №: AV32213-100UL
Производитель: Sigma-Aldrich
Кол-во:
Цена по запросу
Товар оформляется под заказ
Кол-во:
Цена по запросу
Товар оформляется под заказ
Description; General description; Dlx3 is a transcription factor that can regulate the differentiation of osteoprogenitor cells in mice. DLX3 mutation has been linked to tricho-dento-osseous syndrome (TDO) in humans.
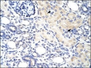
Rabbit Anti-DLX3 recognizes bovine, human, mouse, rat, chicken, and canine DLX3.; Immunogen; Synthetic peptide directed towards the N terminal region of human DLX3; Application; Rabbit Anti-DLX3 can be used for western blot applications at a concentration of 1.0μg/ml. It can also be used for immunohistochemistry at 4-8μg/ml using paraffin-embedded tissues.; Physical form; Purified antibody supplied in 1x PBS buffer with 0.09% (w/v) sodium azide and 2% sucrose.; Disclaimer; Unless otherwise stated in our catalog or other company documentation accompanying the product(s), our products are intended for research use only and are not to be used for any other purpose, which includes but is not limited to, unauthorized commercial uses, in vitro diagnostic uses, ex vivo or in vivo therapeutic uses or any type of consumption or application to humans or animals.; Biochem/physiol Actions; DLX3 is a member of the Dlx gene family which contains a homeobox that is related to that of Distal-less (Dll), a gene expressed in the head and limbs of the developing fruit fly. The Distal-less homeo box(Dlx) family of genes comprises at least 6 different members, DLX1-DLX6. Trichodentoosseous syndrome (TDO), an autosomal dominant condition, has been correlated with DLX3 gene mutation. Mutations in this gene have been associated with the autosomal dominant conditions trichodentoosseous syndrome and amelogenesis imperfecta with taurodontism.Many vertebrate homeo box-containing genes have been identified on the basis of their sequence similarity with Drosophila developmental genes. Members of the Dlx gene family contain a homeobox that is related to that of Distal-less (Dll), a gene expressed in the head and limbs of the developing fruit fly. The Distal-less (Dlx) family of genes comprises at least 6 different members, DLX1-DLX6. Trichodentoosseous syndrome (TDO), an autosomal dominant condition, has been correlated with DLX3 gene mutation. This gene is located in a tail-to-tail configuration with another member of the gene family on the long arm of chromosome 17. Mutations in this gene have been associated with the autosomal dominant conditions trichodentoosseous syndrome and amelogenesis imperfecta with taurodontism.; Sequence; Synthetic peptide located within the following region: SSILTDISSSLSCHAGSKDSPTLPESSVTDLGYYSAPQHDYYSGQPYGQT
Properties
Alphabetical Index Related Categories
Дорогой клиент, на сайте внедрена нейросеть для сбора информации о товаре. Это может привести к незначительным расхождениям в характеристиках продукции.
