Печать
Anti-GUSB
Кат. №: AV44234
Производитель: Sigma-Aldrich
Кол-во:
Цена по запросу
Товар оформляется под заказ
Печать
Anti-GUSB
Кат. №: AV44234
Производитель: Sigma-Aldrich
Кол-во:
Цена по запросу
Товар оформляется под заказ
Кол-во:
Цена по запросу
Товар оформляется под заказ
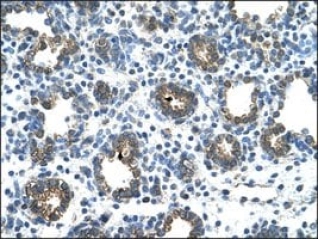
Description; General description; β-Glucuronidase (GUSB), a lysosomal enzyme, catalyzes the breakdown of complex carbohydrates by hydrolyzing β-D-glucuronic acid residues from the non-reducing end of mucopolysaccharides. GUSB is a stably expressed gene product that may be used to normalize the expression of other genes in processes such as mesenchymal stem cell differentiation.; Specificity; Anti-GUSB polyclonal antibody reacts with canine, bovine, zebrafish, chicken, human, mouse, rat, and pig β-glucuronidase proteins.; Immunogen; Synthetic peptide directed towards the C terminal region of human GUSB; Application; Anti-GUSB polyclonal antibody is used to tag β-glucuronidase protein for detection and quantitation by Western blotting and in plasma by immunohistochemical (IHC) techniques. It is used as a probe detect the presence of β-glucuronidase as a gene expression normalization reference protein.; Physical form; Purified antibody supplied in 1x PBS buffer with 0.09% (w/v) sodium azide and 2% sucrose.; Disclaimer; Unless otherwise stated in our catalog or other company documentation accompanying the product(s), our products are intended for research use only and are not to be used for any other purpose, which includes but is not limited to, unauthorized commercial uses, in vitro diagnostic uses, ex vivo or in vivo therapeutic uses or any type of consumption or application to humans or animals.; Biochem/physiol Actions; GUSB plays an important role in the degradation of dermatan and keratan sulfates.; Sequence; Synthetic peptide located within the following region: VLGNKKGIFTRQRQPKSAAFLLRERYWKIANETRYPHSVAKSQCLENSPF
Properties
Alphabetical Index Related Categories
Дорогой клиент, на сайте внедрена нейросеть для сбора информации о товаре. Это может привести к незначительным расхождениям в характеристиках продукции.
