Печать
ANTI-LAMIN A
Кат. №: SAB4501764-100UG
Производитель: Sigma-Aldrich
Кол-во:
Цена по запросу
Товар оформляется под заказ
Печать
ANTI-LAMIN A
Кат. №: SAB4501764-100UG
Производитель: Sigma-Aldrich
Кол-во:
Цена по запросу
Товар оформляется под заказ
Кол-во:
Цена по запросу
Товар оформляется под заказ
Description_x000D_
General description_x000D_
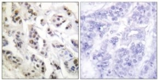
Anti-Lamin A Antibody detects endogenous levels of total Lamin A protein._x000D_
Immunogen_x000D_
The antiserum was produced against synthesized peptide derived from human Lamin A/C._x000D_
Immunogen Range: 361-410_x000D_
Physical form_x000D_
Rabbit IgG in phosphate buffered saline (without Mg2+ and Ca2+), pH 7.4, 150mM NaCl, 0.02% sodium azide and 50% glycerol._x000D_
Disclaimer_x000D_
Unless otherwise stated in our catalog or other company documentation accompanying the product(s), our products are intended for research use only and are not to be used for any other purpose, which includes but is not limited to, unauthorized commercial uses, in vitro diagnostic uses, ex vivo or in vivo therapeutic uses or any type of consumption or application to humans or animals._x000D_
Features and Benefits_x000D_
Evaluate our antibodies with complete peace of mind. If the antibody does not perform in your application, we will issue a full credit or replacement antibody. Learn more.
Related Categories
Alphabetical Index, Antibodies, L-LL, Primary Antibodies conjugate
Дорогой клиент, на сайте внедрена нейросеть для сбора информации о товаре. Это может привести к незначительным расхождениям в характеристиках продукции.
Рекомендуем приобрести
Кат. №: SO0474005P
CAS. №: 1310-73-2
Кол-во:
Цена
по запросу
по запросу
Цена
по запросу
по запросу
Кат. №: SO0474005P
CAS. №: 1310-73-2
Кат. №: CS-O-42442-0.5GM
Фасовка:
Кол-во:
Цена
по запросу
по запросу
Цена
по запросу
по запросу
Кат. №: CS-O-42442-0.5GM
Кат. №: CS-O-42442-1GM
Фасовка:
Кол-во:
Цена
по запросу
по запросу
Цена
по запросу
по запросу
Кат. №: CS-O-42442-1GM
Развернуть
Кат. №: 413283-100G
1,3,5-Триметил-2,4,6-трис(3,5-ди-трет-бутил-4-гидроксибензил)бензол, 99% Related Categories: Materials Science, Polymer Additives, Polymer Science, Stabilizers Quality Level
Кол-во:
Цена
по запросу
по запросу
Цена
по запросу
по запросу
Кат. №: 413283-100G
1,3,5-Триметил-2,4,6-трис(3,5-ди-трет-бутил-4-гидроксибензил)бензол, 99%
Развернуть
Кат. №: GB11
GOOD BUFFERS KIT Related Categories: Biochemicals and Reagents, Biological Buffers, Buffers A to Z, Good’s Buffers
Кол-во:
Цена
по запросу
по запросу
Цена
по запросу
по запросу
Кат. №: GB11
GOOD BUFFERS KIT
Развернуть
Кат. №: GB11-1KT
GOOD BUFFERS KIT Related Categories: Biochemicals and Reagents, Biological Buffers, Buffers A to Z, Good’s Buffers
Кол-во:
Цена
по запросу
по запросу
Цена
по запросу
по запросу
Кат. №: GB11-1KT
GOOD BUFFERS KIT
Кат. №: P7356
EASYPLATE, 9 ASSORTMENT
Кол-во:
Цена
по запросу
по запросу
Цена
по запросу
по запросу
Кат. №: P7356
EASYPLATE, 9 ASSORTMENT
Кат. №: P7106
EASYPLATE, 9 YELLOW
Кол-во:
Цена
по запросу
по запросу
Цена
по запросу
по запросу
Кат. №: P7106
EASYPLATE, 9 YELLOW
Кат. №: E2637
ENVELOPE, FILM FILING 5 X 7
Кол-во:
Цена
по запросу
по запросу
Цена
по запросу
по запросу
Кат. №: E2637
ENVELOPE, FILM FILING 5 X 7
Кат. №: E2762
ENVELOPE, FILM FILING 8 X 10
Кол-во:
Цена
по запросу
по запросу
Цена
по запросу
по запросу
Кат. №: E2762
ENVELOPE, FILM FILING 8 X 10
Кат. №: F4388
FILM, POLAROID TYPE 55 4 X 5*20-EXPOSUR E TRAY
Кол-во:
Цена
по запросу
по запросу
Цена
по запросу
по запросу
Кат. №: F4388
FILM, POLAROID TYPE 55 4 X 5*20-EXPOSUR E TRAY
Кат. №: F4513
FILM, POLAROID TYPE 57 4 X 5*20-EXPOSUR E TRAY
Кол-во:
Цена
по запросу
по запросу
Цена
по запросу
по запросу
Кат. №: F4513
FILM, POLAROID TYPE 57 4 X 5*20-EXPOSUR E TRAY
Кат. №: F3390
FILM, POLAROID TYPE 665 3 1/4 X 4 1/4*8 -EXPOSURE P
Кол-во:
Цена
по запросу
по запросу
Цена
по запросу
по запросу
Кат. №: F3390
FILM, POLAROID TYPE 665 3 1/4 X 4 1/4*8 -EXPOSURE P
Кат. №: F3515
FILM, POLAROID TYPE 669 3 1/4 X 4 1/4*8 -EXPOSURE P
Кол-во:
Цена
по запросу
по запросу
Цена
по запросу
по запросу
Кат. №: F3515
FILM, POLAROID TYPE 669 3 1/4 X 4 1/4*8 -EXPOSURE P
Кат. №: F9515
FILTER, KODAK SAFELIGHT, GBX-2,*5 1/2 D IAMETER
Кол-во:
Цена
по запросу
по запросу
Цена
по запросу
по запросу
Кат. №: F9515
FILTER, KODAK SAFELIGHT, GBX-2,*5 1/2 D IAMETER
Кат. №: F4302
FLAG TAGS, 2.5 X 0.5
Фасовка:
Кол-во:
Цена
по запросу
по запросу
Цена
по запросу
по запросу
Кат. №: F4302
FLAG TAGS, 2.5 X 0.5
Кат. №: H6397
HAND SHIELD ACRYLIC FOR PIPETMAN*PIPETTO RS 3/8 CLE
Кол-во:
Цена
по запросу
по запросу
Цена
по запросу
по запросу
Кат. №: H6397
HAND SHIELD ACRYLIC FOR PIPETMAN*PIPETTO RS 3/8 CLE
Кат. №: R2895
HOLIDAY REINDEER 15
Кол-во:
Цена
по запросу
по запросу
Цена
по запросу
по запросу
Кат. №: R2895
HOLIDAY REINDEER 15
Кат. №: Z379840
HPCL, PRACTICAL AND INDUSTRIAL*APPLICATI ONS
Кол-во:
Цена
по запросу
по запросу
Цена
по запросу
по запросу
Кат. №: Z379840
HPCL, PRACTICAL AND INDUSTRIAL*APPLICATI ONS
Кат. №: I158
IVERMECTIN (MK-933, 22,23-DIHYDROAVERMEC
Кол-во:
Цена
по запросу
по запросу
Цена
по запросу
по запросу
Кат. №: I158
IVERMECTIN (MK-933, 22,23-DIHYDROAVERMEC
