Печать
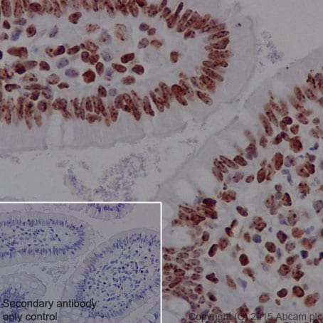
Recombinant Anti-Histone H4 (tri methyl K20) antibody [EPR17001(2)] - ChIP Grade
Кат. №: ab177190
Производитель: Abcam
Кол-во:
Цена по запросу
Товар оформляется под заказ
Печать
Recombinant Anti-Histone H4 (tri methyl K20) antibody [EPR17001(2)] - ChIP Grade
Кат. №: ab177190
Производитель: Abcam
Кол-во:
Цена по запросу
Товар оформляется под заказ
Печать
Recombinant Anti-Histone H4 (tri methyl K20) antibody [EPR17001(2)] - ChIP Grade
Кат. №: ab177190
Производитель: Abcam
Кол-во:
Цена по запросу
Товар оформляется под заказ
- Произведено рекомбинантным способом (без использования животных) для обеспечения высокой стабильности от партии к партии и долгосрочной безопасности поставок
- Кролик моноклональный [EPR17001 (2)] к гистону H4 (триметил K20) - класс ChIP
- Подходит для: IHC-P, WB, Dot blot, ChIP
- Реагирует с: Мышью, Крысой, Человеком
